FieldStrength MRI magazine
User experiences - November 2019
When it was time to replace its old MRI system, Miami Cardiac & Vascular Institute chose the Ingenia Ambition 1.5T scanner after evaluating several MRI systems. This “7-liter liquid helium MRI system” has delivered simple siting, workflow efficiency and many patient comfort features. Most important, however, was the superb quality of the images. Since its installation in 2018, the exceptional image quality provided by Ingenia Ambition has offered diagnostic confidence to the Institute’s radiologists. The machine’s outstanding performance has more than justified their choice.

Constantino Peña, MD
Interventional radiologist at Miami Cardiac & Vascular Institute who, as Medical Director of Vascular Imaging, also performs CTA, MRA, and noninvasive arterial examinations.

Carlos Avila, RT
Technologist at Miami Cardiac & Vascular Institute since 2004, who has been involved in building cardiac and vascular MRI for 11 years.

Carol Melvin
Chief Operating Officer for Miami Cardiac & Vascular Institute, Baptist Health South Florida.
“After scanning many thousands of patients with their Achieva MRI system, a 16-year-old magnet, it was time to investigate the latest technology,” says Carol Melvin, Chief Operating Officer at Miami Cardiac & Vascular Institute’s, part of Baptist Health South Florida.
“Our aim is to offer patients the care that they need in a less invasive way, which is why diagnostic imaging is key to us,” Melvin says. “Among our biggest challenges is staying current with technology that will enable us to maintain world-class care. But just because we had used a Philips system before didn’t compel us to automatically acquire Philips again. We went through our due diligence and evaluated the MRIs of multiple vendors to ensure an informed decision. It was important that our physicians and technologists embrace the new system.”
“Challenges facing us every day are how to maximize our image quality in order to answer diagnostic questions for our patients,” says interventional radiologist Constantino Peña, MD, the Institute’s Medical Director of Vascular Imaging. “In selecting an MRI machine, we wanted state-of-the-art technology that was easy to install, easy to use, and that would be easy on the patient. But most definitely, it had to give us high quality images. That's how we how we settled on the Ingenia Ambition.”
Apart from its excellent imaging capabilities, several other factors ultimately led Miami Cardiac & Vascular Institute to select Ingenia Ambition. The industry-first fully sealed BlueSeal magnet contains just seven liters (v. 1,500 liters) of liquid helium and is completely sealed, so helium cannot escape, which helps increase operational efficiency. In addition, its light weight, small footprint and no need for a vent pipe simplify system siting.
According to the Institute’s team, however, the most impressive attribute of Ingenia Ambition is a combination of speed and exceptional quality of imaging, workflow enhancers and patient comfort solutions that have been particularly beneficial in its first six months of operation.
When asked about the most remarkable features of Ingenia Ambition, Carlos Avila, the Institute’s Lead Technologist responds without hesitation: “The most impactful changes come from Compressed SENSE and mDIXON XD.”
Compressed SENSE allows up to 50% faster* scanning. It works for all anatomical scan sequences and in all body areas. And, as always in MRI, scanning speed may be traded to obtain more anatomical detail, which may have even more impact at the Institute. The mDIXON XD methods provides robust fat-free, high SNR imaging and significant time savings in MR angiography (MRA).
“High quality imaging has allowed us to move away from invasive angiography to noninvasive methods such as MRA. When relying on these types of images, it's important to have the best possible image quality,” Dr. Peña says. “That makes the difference and allows us to determine whether someone needs to proceed to therapy or treatment and prevents us from needing a significant number of invasive procedures.”
“Compressed SENSE is not just faster imaging, it’s a way to improve both image quality and scan time – the user controls how to balance that. In some scans, we may want to acquire images quicker, while for other scans we want to use Compressed SENSE to increase resolution so that we see more detail,” Dr. Peña says.
Excellent image quality is obtained in this dynamic scan., C-SENSE factor 5.4, scan time is 1:20 min, voxel size is 0.8 x 0.8 x 1.6 mm, Ingenia Ambition, 1.5T.

Cor 3D T2
Owing to their condition, many patients at Miami Cardiac & Vascular Institute have difficulty performing breath-holds as needed, for instance, in MRI cine scans of the heart and in MRA examinations.
Avila says that Compressed SENSE allows them to reduce breathhold time to 3 to 4 seconds in cardiac cine scans. “At the same time, we can now – based on cardiac frequency – obtain as many as 30 to 40 cardiac phases without sacrificing resolution, while before Ingenia Ambition, we were acquiring only 20 phases.
“This ability to use Compressed SENSE for obtaining higher temporal resolution translates to a much smoother cine. This allows me to better assess heart function,” Dr. Peña says.
“In MRA, the capacity to acquire a sequence in a single breathhold provides images that are motion-free and high in contrast and detail, advantages that aid in diagnosis,” he says. “With Compressed SENSE, we can reduce the time for the single breath-hold to just 2-3 seconds. Before Ingenia Ambition and Compressed SENSE, the breath-hold requirement was about 8 to 9 seconds, which was too long for some patients.”
“In our peripheral MRA run-off studies with Ambition we realize key benefits, including outstanding image quality and significantly reduced breath-hold and scan times, which not only benefit the patient, but also provide the opportunity to add sequences that could aid in diagnosis,” Dr. Peña says.
“Before we had Ingenia Ambition, our CE-MRA run-off studies would first acquire a dynamic pre-contrast scan with 20-25-second breath-holds, then inject the contrast, do another acquisition and then subtract the two,” says Avila. “Now, mDIXON XD allows us to complete the study in just one single pass – without need for a pre-exam – which eliminates subtraction artifacts and almost halves the scan time. In addition, mDIXON provides much better background suppression, which really improves vesselto-background contrast. And, thanks to Compressed SENSE, the single breath-hold is not long and we improve image resolution.”

The subtractionless peripheral MR angiography shows improved vessel-to-background contrast and high resolution. Ingenia Ambition 1.5T.
| Station | Ingenia Ambition |
| Pelvis | Voxels 1.3 x 1.3 x 3.2 mm, FOV 430 mm, 125 slices |
| Upper legs | Voxels 1.3 x 1.3 x 3.2 mm, FOV 430 mm, 125 slices |
| Lower legs | Voxels 1.0 x 0.82 x 2.0 mm, FOV 430 mm, 125 slices |
The time saved by Compressed SENSE and mDIXON XD is sometimes used to include additional sequences. An example are peripheral MRA studies, in which Compressed SENSE and mDIXON XD help achieve a 5- to 10-minute reduction in scanning time. This brings the total time down, from the 45 minutes needed with their previous system to about 30 to 35 minutes on Ingenia Ambition, thus providing ample time to include additional sequences.
“These scans are so fast now that we have been able to add a non-contrast MRA sequence within the same timeslot. We compare the respective image quality with the goal to determine whether the non-contrast sequence could be an alternative for patients who can’t tolerate gadolinium contrast agents due to poor kidney function,” says Avila. “We find the image quality of the non-contrast sequence so good that we can now also offer peripheral MRA to these patients whom we had been unable to serve before Ambition, so that has been great.”
Another example is the foot examination for diabetic patients, which has improved dramatically. “The forefoot is generally difficult to image with MRI because of the inhomogeneities that the toes create – it’s hard to obtain good fat saturation in that area. Here, mDIXON made a huge difference right away, we obtain much better image quality,” Dr. Peña says. “Using mDIXON, Compressed SENSE and the dS FootAnkle coil, we have been able to reduce the scan time, so that we can now also include an additional 3D STIR sequence to visualize both arteries and veins in the foot.”
Avila adds: “In addition, since most of these patients are in a significant amount of pain, it’s important to perform the examination as quickly as possible. With Compressed SENSE and mDIXON we have been able to reduce the scan time from about 45 minutes to just 15 minutes. Not only does this improve patient comfort, we see that it also helps us acquire images without motion artifacts, which is critical to making a confident diagnosis.”
The images obtained with Ingenia Ambition show large coverage and high uniform signal. More vessels are visible than in a previous exam of the same patient on Achieva. The movies show a higher temporal resolution in the Ambition acquisition than in a previous Achieva 1.5T exam. Both exams use a FOV of 300 mm and voxel height and width of 0.78 mm.

Achieva 1.5T
2:30 min. TE 1 ms, TR 4 ms

Ingenia Ambition
4D Trak XD 1:54 min. TE 1ms, TR 3ms

The team at Miami Cardiac & Vascular Institute also appreciates Ingenia Ambition’s capabilities for fast dynamic CE-MRA. “With 4D TRAK XD, we get much better temporal and spatial resolution. Previously, with the Achieva we needed 6 seconds per dynamic, but now we can shorten that to 2 seconds per dynamic,” Avila says. “As a result, we can see the transition from arterial to venous phase with much higher temporal resolution. This is important, for example, for imaging arteriovenous malformations, which are quite vascular.”
“On our previous system we really had to sacrifice image resolution to get to 5- or 6-second temporal resolution, while now – using 4D TRAK XD on Ambition – we no longer have to sacrifice image quality,” Dr. Peña says.
“On our previous system we had to sacrifice image resolution to get to 5- or 6-second temporal resolution, while on Ambition, we don’t have to sacrifice image quality”
“The ambient lighting, the wide bore diameter, the comfort mattress, the monitor in the back offering video and information during the scan, the sound reduction – all of it has made a big difference for our patients,” Avila says. “Before Ambition, we would have maybe two patients each week for whom we had to take time to convince them to have the scan. That has become the exception now. Once we lay them down on the support, I can see it in their eyes – their anxiety level drops. I haven’t turned away a patient yet.”
According to Avila, patients have been very positive across the board. “Many patients at the Institute require repeated MRI scanning. Some of them may have had an experience of feeling terrified in a previous MRI exam, but when they come to this new room, it’s like a new post. Patients often spontaneously share comments about the comfort of the room and the system. They are happy about the conditions, the path through the machine and the visual experience.”

He adds that the coil’s tilting device also often helps to make the exam easier to undergo. “For patients who have shortness of breath, being able to elevate their head often helps them a lot. We can lift that tilt device all the way up and still put the mirror on, so patients can see outside of the bore,” Avila says.
Ingenia Ambition came with tools that help Miami Cardiac & Vascular Institute technologists in streamlining their workflow. Both technologist and patient comfort benefit from VitalEye, a solution for detecting patient physiology and breathing movement, according to Avila.
“With VitalEye, we can get high-resolution acquisitions with the patient free-breathing. This is much easier for the patient than breath-holds. Moreover, it eliminates the longer set-up times needed for putting a respiratory belt on the patient and provides superior image quality**,” Avila says. “VitalEye serves as a guide for us to trigger the acquisition and for the scanner to trigger the AutoVoice commands. Its high-quality reading of the patient’s breathing patterns translates into sharper** images without breathing motion artifacts.”
The Institute’s technologists also save time by initiating scans with VitalScreen, the interactive touchscreen on the scanner that provides guidance and insights on the current patient study, such as exam duration, coil selection and patient positioning.
“We can verify the patient’s name, scanning orientation and the accuracy of cardiac gating,” Avila says. “In addition to being able to control the bore lighting and fan, VitalScreen increases our efficiency by enabling us to start acquiring the initial reference images and scouts before we even walk out of the room.”
Technologists are also happy with AutoVoice guiding patients through the MR study. “AutoVoice removes the task of giving breathing instructions from the technologist and thus allows us to focus on planning the exam,” Avila says. “It’s almost like the study is on auto-pilot – Ambition is doing the work. Plus, a diversity of languages is available, which is important in a large metropolitan area like Miami.”

VitalEye

VitalScreen
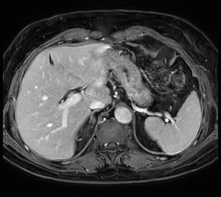
Ascites can be hard to image, but excellent result is obtained with Ingenia Ambition. This high resolution image demonstrates the high quality that can be obtained with VitalEye and the patient just breathing normally. The acquisition time is fast thanks to the accuracy of the respiratory gating with VitalEye** and it also saves the time needed to put a respiratory belt on the patient.

3D T2 with VitalEye

3D T2 with VitalEye
The Ingenia Ambition experiences at Miami Cardiac & Vascular Institute demonstrate that exceptional diagnostic capabilities, outstanding patient comfort and productivity attributes can coexist on a single imaging platform.
“We’ve been pleasantly surprised with Ingenia Ambition – it’s next-generation MR technology,” Dr. Peña says. “When comparing it to our previous MR system, we notice that we improved by being able to include more sequences in a study and we see improved quality of many sequences.”
“It’s also remarkable that while Baptist Health has installed multiple different MRIs throughout the system, never before have we gotten so many comments from patients about how good their MRI experience was,” Dr. Peña adds. “And, the combination of things like VitalEye, the comfort mattress and sequences such as Compressed SENSE and mDIXON have really made our patients’ lives and our lives easier in this complex cardiovascular imaging environment. Ambition truly brings together all the most important aspects of a successful MRI service.”
“We’ve been pleasantly surprised with Ingenia Ambition – it’s next-generation MR technology”
Avila echoes Dr. Peña’s impressions and adds: “Our workflow has become much more efficient by replacing our former system with Ambition. We have faster exams, higher quality images, and less time inside the magnet overall.”
COO Carol Melvin concludes: “We’re thrilled to be the first in North America to have Ingenia Ambition. From what we've seen and demonstrated, Ambition enables us to perform really highquality imaging, which is allowing us to take this institute to a higher level. It also has helped us decrease procedure time, which allows us to have slots open for additional patients.”
Performed on Ingenia Ambition. FOV 430 mm, voxels 1.3 x 1.3 x3.0 mm, 130 slices, Breath hold 16.6 sec


Using mDIXON provides excellent fat saturation uniformity. No artifacts seen at the edges in these images, while these were quite commonly seen with eTHRIVE on our previous system. Note also the high resolution.
Ingenia Ambition, 3D breath hold, FOV 370 mm, voxels 1.51 x 1.58 x 4.0 mm, 120 slices, scan time 19.6 sec.

These are some images of a cardiac cine scan with a short breath-hold time. A high temporal resolution provides a smooth cine, which helps in assessing heart function. Ingenia Ambition.
MultiVane was used for motion reduction in this shoulder examination, providing excellent detail that is not obscured by motion artifacts, as happens quite commonly when no proper motion reduction method is available. Images from Ingenia Ambition.

Cor T2W fatsat Scan time 3:06 min
Voxels 0.5 x 0.5 x 3 mm, recon 0.4 x 0.4
Sag T1W Scan time 4:10 min
Voxels 0.5 x 0.5 x 3 mm, recon 0.4 x 0.4
Ax PD fatsat Scan time 4:17 min
Voxels 0.5 x 0.5 x 3 mm, recon 0.4 x 0.4
*Compared to Philips scans without Compressed SENSE **Compared to Philips belt-based signal. Requires an unobstructed line-of-sight
Results from case studies are not predictive of results in other cases. Results in other cases may vary.

Our periodic FieldStrength MRI newsletter provides you articles on latest trends and insights, MRI best practices, clinical cases, application tips and more. Subscribe now to receive our free FieldStrength MRI newsletter via e-mail.
Stay in touch with Philips MRI



You are about to visit a Philips global content page
ContinueConținutul paginii următoare conține informații destinate exclusiv profesioniștilor din domeniul sănătății, întrucât se referă la produse care se încadrează în categoria dispozitivelor medicale care necesită utilizarea sau intervenția profesioniștilor din sectorul medical.
Ești o persoană care întrunește criteriile de mai sus?