FieldStrength MRI magazine
News - June 2015
The need to repeat even one scan can put you behind schedule, increasing patient wait times and staff overtime. Today more than ever, first-time-right imaging is key. Ingenia 1.5T S delivers fast, robust scanning methods based on dStream digital quality and speed, along with Premium IQ* for more information in the same time slot. With our Patient In-bore Solution we have innovated patient experience during the MRI exam.
Fast and robust capabilities Ingenia S features Premium IQ*, which helps clinicians obtain more information in an available timeslot. This is thanks to up to 40% higher SNR with dStream, increased scanning speed with the high acceleration factors of dS SENSE, motion-corrected imaging with MultiVane XD – even in challenging patients – and superb fat-suppressed imaging with mDIXON.
Philips has brought innovation where it’s most needed: into the bore. Choosing the In-bore Solution allows your patients to design their
own relaxing scan experience, with immersive visual and audio features that help to calm and relax them for a smooth scan. With ComforTone for noise reduction and AutoVoice to help guide the patient through the scan, the in-bore experience can be successful for patients of virtually any age or condition.
iPatient, a fast and comfortable patient setup, uses integrated and lightweight coils with simple connections to smooth and enhance the scanning process. iPatient also incorporates automated imaging with a personal touch, such as ExamCards, SmartExam and SmartSelect, that allow technologists to spend more time with the patient.
• Premium IQ is defined as image quality obtained with dStream compared to Achieva
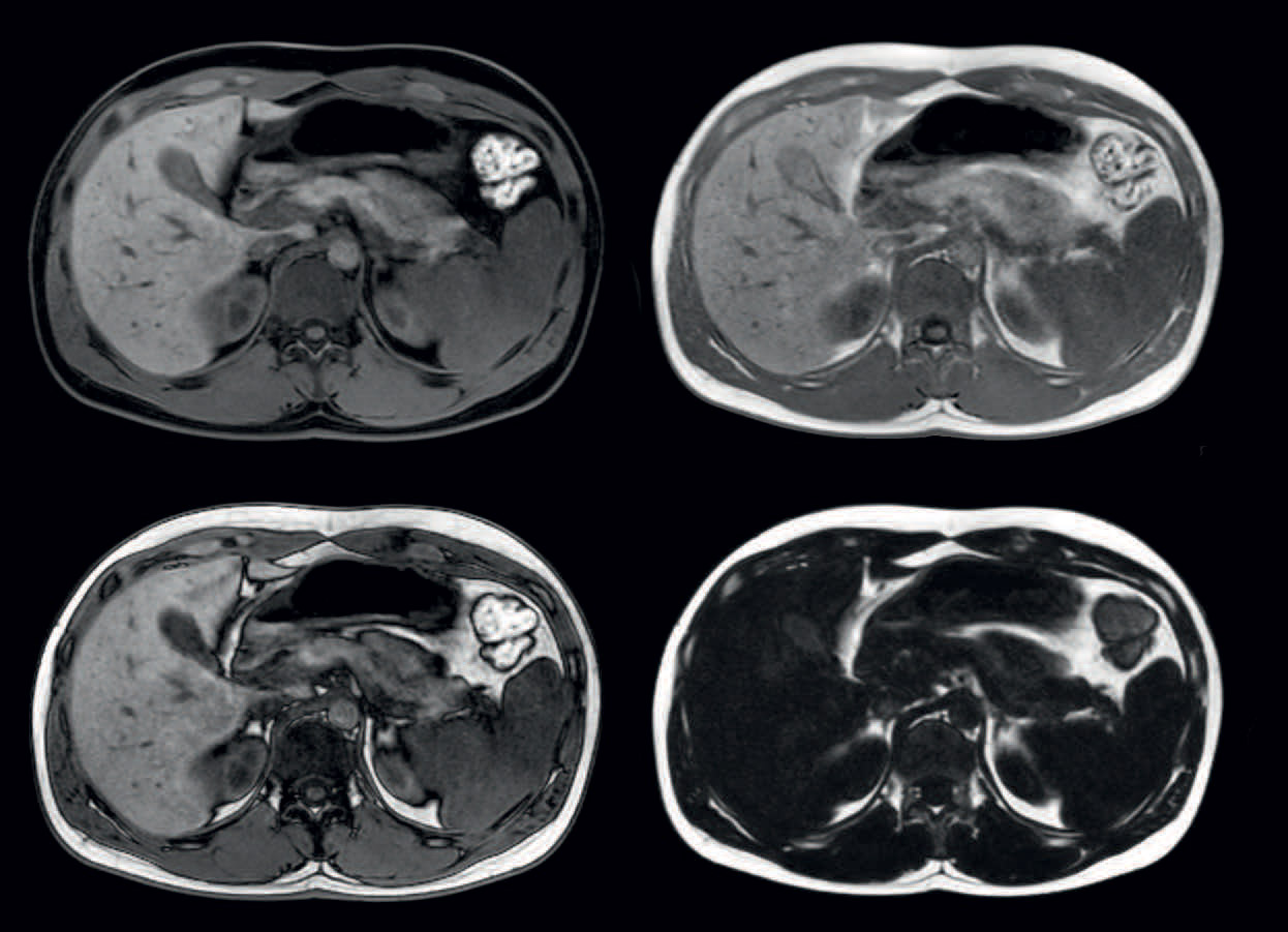
mDIXON provides four different contrasts in one scan: water, fat, in-phase and out-phase images. Voxels 1.3 x 1.5 x 2.5 mm, high dS SENSE acceleration factor, breathhold 16 seconds.

Our periodic FieldStrength MRI newsletter provides you articles on latest trends and insights, MRI best practices, clinical cases, application tips and more. Subscribe now to receive our free FieldStrength MRI newsletter via e-mail.
Stay in touch with Philips MRI

You are about to visit a Philips global content page
ContinueConținutul paginii următoare conține informații destinate exclusiv profesioniștilor din domeniul sănătății, întrucât se referă la produse care se încadrează în categoria dispozitivelor medicale care necesită utilizarea sau intervenția profesioniștilor din sectorul medical.
Ești o persoană care întrunește criteriile de mai sus?