
Lumify este alături de dvs. la fiecare pas
Evaluaţi, diagnosticaţi şi trataţi pacienţii dumneavoastră în câteva minute, cu un examen POCUS în mai multe puncte.

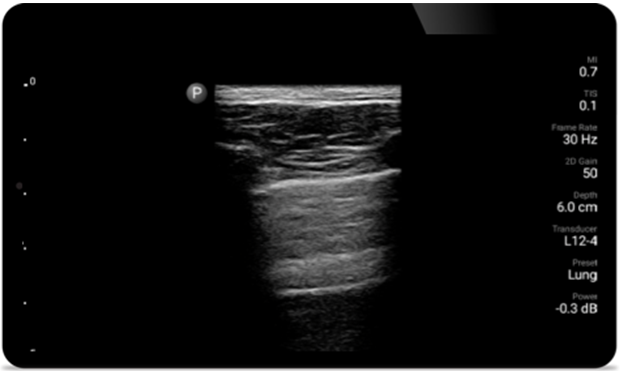
Respiraţi mai uşor cu Lumify
Lumify poate ajuta la evaluarea mai rapidă a pacienţilor şi la îmbunătăţirea preciziei în diagnosticarea cauzelor comune de dispnee şi alte afecţiuni pulmonare.

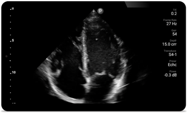
Fiecare secundă contează în asistenţa cardiacă
Pacienţii cu atac de cord au nevoie de îngrijire imediată. Presetările cardiace ale Lumify pot ajuta pacienţii să obţină diagnostice mai rapide pentru a-şi îmbunătăţi rezultatele.
Obţineţi o soluție completă cu imagistică clară a întregului organism pentru un răspuns rapid şi precis în timpul unei urgenţe.


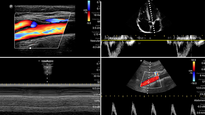
• Interval de frecvenţă de operare extinsă cuprins între 4 şi 1 MHz • Imagistică 2D, Doppler color, M-mode, XRES avansată şi armonică multivariată • Imagistică de înaltă rezoluţie pentru aplicaţii abdominale şi cardiace: cu ajutorul optimizărilor presetate de imagistică de tip cardiac, OB/GYN, plămân, abdomen şi FAST, Lumify reprezintă o tehnologie ce contribuie la salvarea vieţii pacienților în mediul spitalicesc.



Video
Lumify facilitează tehnologia de salvare a vieţii în mediul prespitalicesc

Studiu de caz
Integrarea Lumify într-un mediu de resuscitare

Ghid rapid
Examinare Focused Assessment with Sonography in Trauma (FAST)
* Clasa dispozitivelor medicale este IIa, în conformitate cu EU 2017/745. Producător autorizat: Philips Ultrasound LLC, SUA
You are about to visit a Philips global content page
ContinueConținutul paginii următoare conține informații destinate exclusiv profesioniștilor din domeniul sănătății, întrucât se referă la produse care se încadrează în categoria dispozitivelor medicale care necesită utilizarea sau intervenția profesioniștilor din sectorul medical.
Ești o persoană care întrunește criteriile de mai sus?