
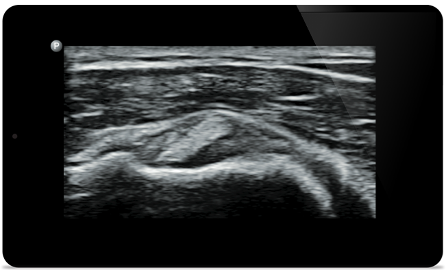
Începeţi tratamentul cu un diagnostic precis
Lumify vă ajută să vedeţi detaliile fine ale muşchilor, articulaţiilor, ligamentelor, tendoanelor şi cartilagiilor pentru a pune un diagnostic mai precis al leziunilor.

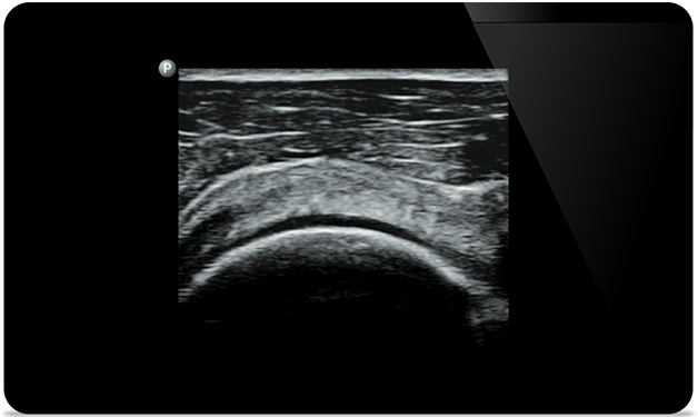
Diagnosticați rapid afecțiunile întregului organism cu ajutorul imagisticii
Lumify vă poate ajuta să evaluaţi pacienţii din cap până în picioare, fie că este vorba de fasceită plantară, tendinită sau bursită la nivelul tendonului rotulian, sau chiar de instabilitatea umărului la nivelul centurii scapulare.

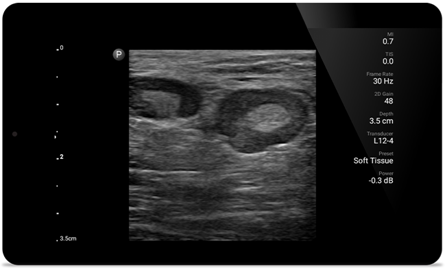
Beneficiaţi de claritatea ecografelor mai mari cu Lumify
SonoCT consolidează imagistica ţesutului real, eliminând în acelaşi timp artefactele aleatorii. Această tehnologie produce imagini superioare imagisticii convenţionale la până la 94% dintre pacienţi.


• Interval de frecvenţă de operare extinsă cuprins între 5 şi 2 MHz • Rază de curbură 50 mm • Imagistică 2D, Doppler color, M-mode, XRES avansată şi armonică multivariată, SonoCT • Imagistică de înaltă rezoluţie pentru aplicaţii de profunzime: optimizări prestabilite pentru imagistică abdominală, a vezicii biliare, OB/GYN şi a plămânilor



Video
Artrocenteza genunchiului
ghidată ecografic

Studiu de caz
Ruperea tendonului supraspinos

Ghid rapid
Artrocenteza şoldului ghidată ecografic
* Clasa dispozitivelor medicale este IIa, în conformitate cu EU 2017/745. Producător autorizat: Philips Ultrasound LLC, SUA
You are about to visit a Philips global content page
ContinueConținutul paginii următoare conține informații destinate exclusiv profesioniștilor din domeniul sănătății, întrucât se referă la produse care se încadrează în categoria dispozitivelor medicale care necesită utilizarea sau intervenția profesioniștilor din sectorul medical.
Ești o persoană care întrunește criteriile de mai sus?