
Cu Lumify puteți vedea mai detaliat
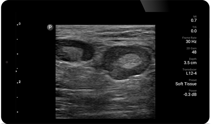
Ecografiile vă pot îmbunătăţi capacitatea de a identifica şi de a trata cu succes abcesele cutanate.

Depistarea precoce poate contribui la evitarea degenerării afecţiunilor
Insuficienţa cardiacă congestivă este o problemă în creştere în prezent. Descoperirea precoce a acesteia cu ajutorul ecografiei în cabinet poate îmbunătăţi considerabil ratele de supravieţuire.

Rezultatele examinărilor la îndemâna dvs.
Lumify facilitează stocarea şi accesarea rezultatelor şi imaginilor examinărilor pacienţilor direct de pe dispozitivul Android sau iOS compatibil. Puteţi chiar partaja aceste rezultate cu colegii, pentru o mai bună colaborare.


• Interval de frecvenţă de operare extinsă cuprins între 5 şi 2 MHz • Rază de curbură 50 mm • Imagistică 2D, Doppler color, M-mode, XRES avansată şi armonică multivariată, SonoCT • Imagistică de înaltă rezoluţie pentru aplicaţii de profunzime: optimizări prestabilite pentru imagistică abdominală, a vezicii biliare, OB/GYN şi a plămânilor • Marcaj al liniei centrale • Traductor USB-C cu cablu înlocuibil


De la dezvăluirea detaliilor fine ale unei imagini până la vizualizarea de înaltă definiție a ţesutului îmbogăţit din mai multe unghiuri, Lumify vă poate ajuta să luaţi decizii în timp real cu mai multă încredere, de la evaluare până la recuperare.

Studiu de caz
Tamponadă cardiacă mascată ca durere abdominală

Tutorial
Evaluarea funcţiei ventriculului stâng

Ghid rapid
Ecografie POC pentru ţesuturile moi
You are about to visit a Philips global content page
ContinueConținutul paginii următoare conține informații destinate exclusiv profesioniștilor din domeniul sănătății, întrucât se referă la produse care se încadrează în categoria dispozitivelor medicale care necesită utilizarea sau intervenția profesioniștilor din sectorul medical.
Ești o persoană care întrunește criteriile de mai sus?