Căutare termeni
IntelliSpace Portal 8.0 is an advanced visualization platform that offers a single integrated solution to help you work quickly and efficiently with increased diagnostic confidence – especially during reading and follow up of complex cases.
Request contact
We are always interested in engaging with you.
Let us know how we can help.
Făcând clic pe link, veți părăsi site-ul web oficial Philips Electronics Ltd. ("Philips"). Orice link-uri către site-uri web ale terților care pot apărea pe acest site sunt furnizate numai pentru comoditatea dumneavoastră și nu reprezintă în niciun fel afiliere sau aprobare a informațiilor furnizate pe acele site-uri web conectate. Philips nu oferă nicio declarație sau garanție de niciun fel cu privire la site-urile web ale unor terțe părți sau la informațiile conținute în acestea.
ContinuăYou are about to visit a Philips global content page
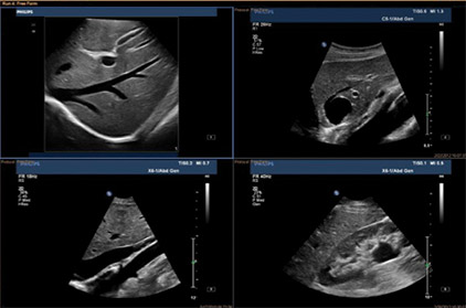
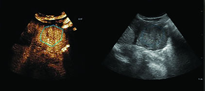
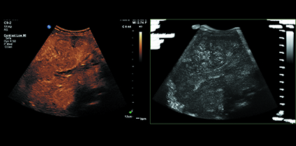
ContinueMultiple modalities, one integrated platform
Multiple modalities, one integrated platform
Multiple modalities, one integrated platform
Multiple patient needs, one patient report
Multiple patient needs, one patient report
Multiple patient needs, one patient report
Multiple clinical domains, one standard for diagnosis
Multiple clinical domains, one standard for diagnosis
Multiple clinical domains, one standard for diagnosis
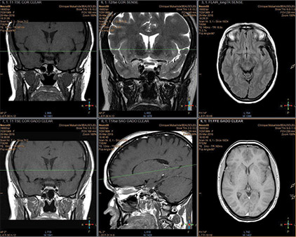
Multiple patient datasets, one unifying vision
Multiple patient datasets, one unifying vision
Multiple patient datasets, one unifying vision
Multiple advanced tools, one consistent workflow
Multiple advanced tools, one consistent workflow
Multiple advanced tools, one consistent workflow
Multiple modalities, one integrated platform
Multiple modalities, one integrated platform
Multiple modalities, one integrated platform
Multiple patient needs, one patient report
Multiple patient needs, one patient report
Multiple patient needs, one patient report
Multiple clinical domains, one standard for diagnosis
Multiple clinical domains, one standard for diagnosis
Multiple clinical domains, one standard for diagnosis
Multiple patient datasets, one unifying vision
Multiple patient datasets, one unifying vision
Multiple patient datasets, one unifying vision
Multiple advanced tools, one consistent workflow
Multiple advanced tools, one consistent workflow
Multiple advanced tools, one consistent workflow
See how our latest IntelliSpace Portal 10 is addressing resource demands, utilizing multiple modalities and inputs across a complex, widely distributed network.
Philips IntelliSpace Portal 8.0 is an advanced visualization and analysis solution offering a single 3-step approach to give you one comprehensive overview of your patient. So you can focus on what’s most important: quick detection, confident diagnosis, and efficient follow-up.


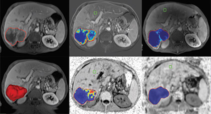
Today’s oncology care decisions are more complex than ever. Caregivers need to assess the benefits and risks for each step of the care continuum while using input from multiple specialists in a care team. Now you can structure workflows around patients and care stages for clinically meaningful insights with the comprehensive portfolio of Advanced Visualization oncology solutions in IntelliSpace Portal 8.0. It’s one solution with a 3-step approach to help you detect and characterize malignancies, and perform quantification and follow-up analyses to assess treatment response.
Given the increasing interest in pulmonary care, IntelliSpace Portal 8.0 offers you one comprehensive toolset to help you track pulmonary disease from detection to follow-up. The new CT Lung Nodule Assessment (LNA) application streamlines your workflow with a comprehensive set of automatic and semi-automatic features as well as a unique risk assessment tool⁽¹⁾ for clinical decision support. Take advantage of CT Lung Nodule CAD⁽²⁾ along with other applications in the Advanced Visualization platform to perform a variety of tasks, such as measure and track COPD, detect pulmonary emboli, and perform calcium scoring.

Clinical advances keep coming. Hospital networks keep growing. And enterprises keep adapting to business realities. Make sure your advanced visualization keeps pace – with IntelliSpace Portal 8.0. With just one platform, you can streamline clinical workflows as you drive standardization and excellence across your enterprise.
Detect, diagnose, and follow up with confidence
• Deliver clinically meaningful insights for complex oncology cases
• Manage pulmonary patients in just one viewing environment
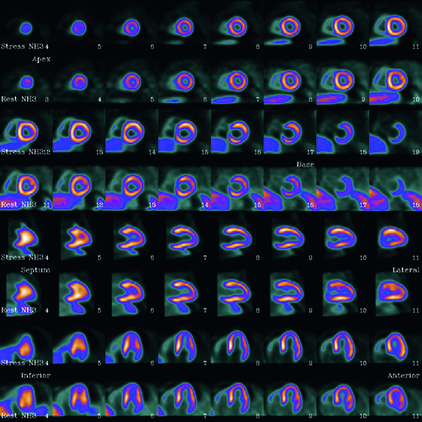
• Have the right visualization and quantification tool when you need it in cardiology, vascular, neurology, orthopedics and other domains
Simplify operations with one platform • Promote interoperability to drive peak efficiency and collaboration across healthcare IT ecosystems • Support scalability regional-wide deployment patterns in line with healthcare consolidation and changing needs • Create custom solutions based on your network and market and drawing on our enterprise consulting capabilities
Turn change into an advantage • Facilitate consistency as well as superb clinical and workflow performance through regular software maintenance • Manage evolving challenges in healthcare through our service agreements
• Meet all your education needs with our one-stop shop approach, including context-based, on-demand learning at your fingertips
⁽¹⁾ Not available for sale in the US ⁽²⁾ CAD functionality not available for sale in the US ⁽³⁾ For research use only ⁽⁴⁾ Not available for sale in all countries. Please check for availability in specific countries. ⁽⁵⁾ Corridor4DM is a registered trademark of Invia, LLC. ⁽⁶⁾ Emory Cardiac Toolbox, ECTb, HeartFusion, and SyncTool are registered trademarks of Emory University. ⁽⁷⁾ NeuroQ is a trademark of Syntermed.
Făcând clic pe link, veți părăsi site-ul web oficial Philips Electronics Ltd. ("Philips"). Orice link-uri către site-uri web ale terților care pot apărea pe acest site sunt furnizate numai pentru comoditatea dumneavoastră și nu reprezintă în niciun fel afiliere sau aprobare a informațiilor furnizate pe acele site-uri web conectate. Philips nu oferă nicio declarație sau garanție de niciun fel cu privire la site-urile web ale unor terțe părți sau la informațiile conținute în acestea.
ContinuăYou are about to visit a Philips global content page
ContinueFăcând clic pe link, veți părăsi site-ul web oficial Philips Electronics Ltd. ("Philips"). Orice link-uri către site-uri web ale terților care pot apărea pe acest site sunt furnizate numai pentru comoditatea dumneavoastră și nu reprezintă în niciun fel afiliere sau aprobare a informațiilor furnizate pe acele site-uri web conectate. Philips nu oferă nicio declarație sau garanție de niciun fel cu privire la site-urile web ale unor terțe părți sau la informațiile conținute în acestea.
ContinuăYou are about to visit a Philips global content page
ContinueSelect country/region
România (Română)Site-ul nostru poate fi vizualizat cel mai bine cu cea mai recentă versiune de Microsoft Edge, Google Chrome sau Firefox.
Conținutul paginii următoare conține informații destinate exclusiv profesioniștilor din domeniul sănătății, întrucât se referă la produse care se încadrează în categoria dispozitivelor medicale care necesită utilizarea sau intervenția profesioniștilor din sectorul medical.
Ești o persoană care întrunește criteriile de mai sus?