The clinical application helps visualize and quantify the destructive process of diffuse lung disease (e.g. emphysema), providing a guided workflow for airway analysis, reviewing and measuring airway lumen, and assessing air trapped.
From nodule discovery to diagnosis to therapy monitoring and follow up, the IntelliSpace Portal offers a full suite of advanced visualization pulmonology tools to help. The IntelliSpace Portal is an advanced visualization solution that allows you the flexibility to view, analyze, collaborate, and report seamlessly using consistent workflow tools.
One-click 3D calcium segmentation
One-click 3D segmentation and quantification for coronary arteries calcifications including mass, Agatston, and volume scores.

Benefits
Quantify diffuse lung disease
CT COPD helps visualize and quantify the destructive process of diffuse lung disease (e.g. emphysema). The application provides a guided workflow for airway analysis, reviewing and measuring airway lumen, and assessing air trapped.

Benefits
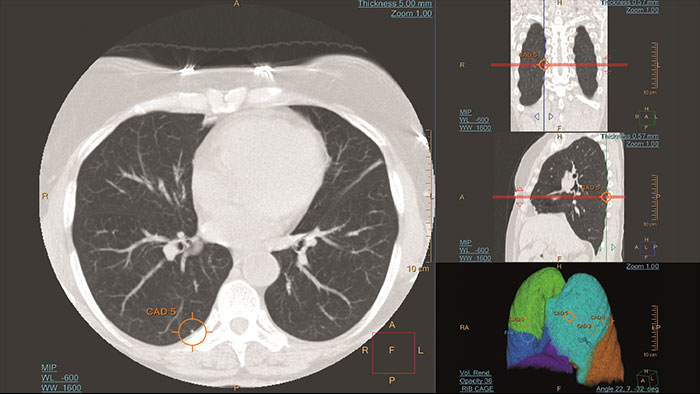
Assessing lung nodules over time
Enables review and analysis of thoracic CT images, providing segmentation, quantification and characterization of physician-indicated lung nodules. The application can be used in both diagnostic and screening evaluations, supporting Low Dose CT Lung Cancer Screening*

Benefits
* The screening must be performed within the established inclusion criteria of programs/protocols that have been approved and published by either a governmental body or professional medical society. Please refer to clinical literature, including the results of the National Lung Screening Trial (N Engl J Med 2011; 365:395-409) and subsequent literature, for further information.
** Based on patient and nodule characteristics for estimation of the probability that lung nodules detected on baseline screening low-dose CT scans are malignant. These functionalities may not be available in all territories. Please contact a Philips representative for more details.
Automated computer aid for lung nodule detection
Artificial second reader to support the detection of lesions or nodules which may have been missed. It offers an automated process that identifies and marks regions of interest based on image features associated with lung nodules. It is intended for use as a second reader after an initial interpretation of the diagnostic image has been performed.

Benefits
*CAD functionality not available for sale in the US.
Assess suspected findings of pulmonary embolism
Offers automatic and manual segmentation tools to assist in localization of suspected pulmonary embolism findings on segmental and sub-segmental contrast-opacified pulmonary arteries.

Benefits
(1) This functionality may not be available in all territories. Please contact a Philips representative for more details.
Review spectral data in a range of not spectral-enhanced CT applications
Allows retrospective use of spectral data that was saved in a series of spectral base images (SBI). The fast launch of LMG allows review and identification of the most relevant results to be launched into the application for further analysis.

Benefits
IQon Spectral CT Functionality
IQon Spectral CT is the only scanner to offer CT Spectral Light Magic Glass and CT Spectral Magic Glass on PACS, helping radiologists review and analyze multiple layers of spectral data at once, including on their PACS.

Benefits
* Standard with the CT Spectral option on IntelliSpace Portal.
IQon Spectral CT* Functionality
The spectral viewer is optimized for analysis of spectral data sets from the IQon Spectral CT Scanner. Obtain a comprehensive overview of each patient quickly and easily, quantify quickly, and assist in diagnosis. It is designed to accommodate general spectral viewing needs with additional tools to assist in CT images analysis.

Benefits
* IQon CT reconstruction provides a single DICOM entity containing sufficient information for retrospective analysis - Spectral Base Image (SBI). SBI contains all the spectrum of spectral results with no need for additional reconstruction or post-processing. Spectral applications are creating different spectral results from SBI.
Streamlined workflow for follow up and analysis of oncology patients
MMTT is a post processing software used to display, process, analyze and quantify anatomical and functional images, for CT, MR, PET/CT, SPECT/CT and Dual Energy CT at one or multiple time points.

Benefits
You are about to visit a Philips global content page
ContinueConținutul paginii următoare conține informații destinate exclusiv profesioniștilor din domeniul sănătății, întrucât se referă la produse care se încadrează în categoria dispozitivelor medicale care necesită utilizarea sau intervenția profesioniștilor din sectorul medical.
Ești o persoană care întrunește criteriile de mai sus?